人口肺磨_肺磨玻璃结节图片(3)
日期:2021-03-22 类别:热点图片 浏览:
jpeg,1241x2046,100503b
持续咳嗽连续三周以上,那么最好及时去医院检查肺功能,以防肺癌出现.
,"height":300x459,17218b
肺部小结节也是分为良性和恶性,肺癌早期有相当部分表现为结节,所以很多人一查出肺部出现结节都觉得自己离开癌症不远.
,"height":466x640,45820b
▲肺癌是一种恶性
jpg,276x365,16246b
我们正常人几乎可不能通过\"白肺\"看出来是新冠肺炎,普通的肺炎恶化都会形成\"
jpeg,274x640,26813b
检查出肺部阴影 肺结节,生活上应该注意什么
jpg,500x1022,74364b
4.直接手术 随着胸部ct的普及,越来越多的人发现有肺部结节,对于6-10mm的肺结节,由于结节太小,肺穿刺几乎是穿不到的,根据ct中结节形态、位置、ct值,比如磨玻璃结节或者混合磨玻璃结节等高度怀疑肺癌时,可以直接手术治疗.
jpg,329x550,82048b
女子去世后捐赠器官 传染癌症给受赠者致3人死亡
jpeg,650x567,35942b
几轮过后,马双超膝盖手臂酸痛,但周边没有会做心肺复苏能够替换的人.
jpeg,794x639,48170b
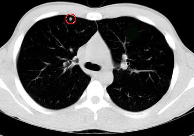
第一种,磨玻璃结节(gross glass nodule, ggn),或者磨玻璃阴影
jpeg,667x1000,43155b
有的人空腹血糖高但餐后血糖正常,有的人却正相反,哪个严重
jpg,477x681,38467b
而根据影像学显示的结节密度可将肺部小结节分类如下:_ 纯磨玻璃结节(pggo):均匀的磨砂状阴影,恶性概率为18%.
jpg,1080x1080,83692b
病人多 病情重 广东医护人员眼中的武汉汉口医院
推荐阅读
相关文章
- 总排名
- 每月排行
- 推荐阅读
- 阅读排行












